The autism spectrum, often referred to as just autism, autism spectrum disorder (ASD) or sometimes autism spectrum condition (ASC), identifies a loosely defined cluster of neurodevelopmental disorders characterized by challenges in social interaction, verbal and nonverbal communication, and often repetitive behaviors and restricted interests. Other common features include unusual responses to sensory stimuli and a preference for sameness or unusual adherence to routines.
Autism is generally understood to be a spectrum disorder, as it can manifest differently in each person: any autistic individual is likely to show some, but not all, of the characteristics associated with it, and the person may exhibit them to varying degrees and frequencies. There is large variation in the support needs of autistic people, and some are nonspeaking, while others have proficient spoken language. Read more ...
The "Autism Umbrella" continues to grow and help define the behavior of millions of people in understanding their behavior as autistic or on the spectrum which includes those who do not know how to name the unusual behavior patterns because they've never been evaluated and diagnosed. It's always important to know what's wrong with someone so they can get needed help.
Stimming, or self-stimulatory behavior, is a common repetitive action that can occur in individuals with autism spectrum disorder (ASD). It involves movements, sounds, or other sensory experiences that provide a sense of comfort or stimulation.
Stimming - short for "self-stimulatory behavior" - is a form of self-soothing commonly seen in autistic people. It can involve repetitive movements, sounds, or actions and is commonly regarded in medical literature as part of "rigid and repetitive behavior." Medical Express - April 2, 2025
Spinning round and round non-stop while laughing is another grounding mechanism by children as well as adults.
Asperger Syndrome has been placed under the autism umbrella. It has to do with social anxiety with relatively unimpaired spoken language and intelligence.
I loop Misokinesiainto the mix of related disorders.
Every year advancements in diagnoses and treatments are made - though brain functions seem to be at an elemental stage in human physiology.

Autism is increasing globally as awareness of the spectrum grows and is better understood. In 1998 I noticed fractures in the consciousness grids through which souls spiral into physical reality to experience. It puzzled me at the time until I noticed increasing patterns of processing reality - one of which was autism.
We exist in a simulation created by consciousness grids that had a beginning and is now rapidly reaching its end - creating chaos in its wake. The grids are fractured or broken, causing all of the chaos that exists in our lives today.
Autism and ADHD have distinct brain connectivity signatures, study finds Medical Express - June 1, 2025
Autism spectrum disorder (ASD) and attention-deficit/hyperactivity disorder (ADHD) are among the most well-known neurodevelopmental conditions, estimated to affect approximately 1-3% and 5-7% of the global population, respectively. While people diagnosed with ASD can experience difficulties with social communication, repetitive behaviors and a heightened sensitivity to sensory stimuli (e.g., lights, sounds, etc.), those diagnosed with ADHD are often prone to hyperactivity, impulsivity and inattention, which makes it harder for them to focus on tasks for extended periods of time. ADHD and autism often co-occur, with statistics estimating that 50-70% of individuals with ASD also present symptoms of ADHD. While several past neuroscience studies investigated these two distinct neurodevelopmental conditions, the similarities and differences between their neurobiological underpinnings remain poorly understood.
How can people with autism and social anxiety understand others' emotions better? Medical Express - January 23, 2025
We not only observe other people's emotions, but also subconsciously mirror them
Scientists Discovered a Heightened Toxicity Risk For Children With Autism, ADHD Science Alert - September 25, 2024
The number of people being diagnosed with autism spectrum disorder ( ASD) and attention deficit hyperactivity disorder ( ADHD) has risen sharply in recent decades, and research continues to look at factors involved in these conditions. A study revealed there's a difference in how children with autism or ADHD clear the common plastic additive bisphenol A (BPA), compared to neurotypical children. BPA is used in a lot of plastics and plastic production processes, and can also be found inside food and drink cans. However, previous research has also linked it to health issues involving hormone disruption, including breast cancer and infertility.
There Are Critical Differences in The Brains of Girls Diagnosed With Autism Science Alert - May 28, 2024
From the moment you were born until about age 2, your brains' outer layer - the cortex - rapidly thickened in a frenzy of neuron creation. After all that excitement, that dense hedge of nerve cells was trimmed back in a process called 'cortical thinning'. Now, a new study has found some key differences in how this process occurs in autistic children, depending on their birth sex. Previous studies have found variations in the way autistic children's brains undergo cortical thinning, but so far the picture is hazy and inconsistent. This is partly because historically, studies into autism spectrum disorder under-represent the female sex, and that goes for research into cortical development.
Gene linked to epilepsy and autism decoded in new study PhysOrg - April 27, 2024
A genetic change or variant in a gene called SCN2A is a known cause of infantile seizures, autism spectrum disorder, and intellectual disability, as well as a wide range of other moderate-to-profound impairments in mobility, communication, eating, and vision.
Autism Can Boost Cognitive Performance, And We May Finally Know Why Science Alert - March 31, 2024
For decades, autism research has focused on behavioral, cognitive, social and communication difficulties. These studies highlighted how autistic people face issues with everyday tasks that allistic (meaning non-autistic) people do not. Some difficulties may include recognizing emotions or social cues.
'Butterfly effect' may explain some genetic causes of autism   Live Science - January 26, 2024
A new study suggests that mutations in regions of the genome that help control gene activity may influence the development of autism. A "butterfly effect" may help explain how autism-related genes in DNA get switched on. A new study suggests that, through this complex ripple effect, mutations in genes unrelated to autism end up influencing the activity of genes tied to the disorder.
A Hidden Pattern in Children's Eyes Can Reveal if They Have Autism Science Alert - December 18, 2023
Deep learning AI models could be used to screen for autism and check on the severity of the condition, according to new research – and all the AI might need is a photo of the subject's retina.
Autism And Synesthesia May Have A Genetic Link, New Twin Study Reveals IFL Science - October 25, 2023
Being able to "see" sounds as colors is just one type of synesthetic experience.
A Genetic Link Between Synesthesia And Autism Has Just Been Revealed Science Alert - October 25, 2023
A new analysis of thousands of sets of twins suggests that synesthesia shares genetic roots with autism. In particular, synesthesia seems to be linked to what are known as non-social autism traits, or repetitive and restricted behaviors and interests (RRBIs) - which have also been linked to differences in perception compared to non-autistic individuals.
Measuring children's looking behavior predicts expert clinical diagnosis of autism in children between ages 16 to 30 months tested with a high degree of accuracy.
Stanford researchers have developed an algorithm that may help discern if someone has autism by looking at brain scans. The novel algorithm, driven by recent advances in artificial intelligence (AI), also successfully predicts the severity of autism symptoms in individual patients. With further honing, the algorithm could lead to earlier diagnoses, more targeted therapies, and broadened understanding of autism's origins in the brain.
1 in 45 US Kids Has an Autism Spectrum Disorder Live Science - November 13, 2015
Measuring children's looking behavior yields new tool to help diagnose autism earlier
Rates of autism diagnosis in children are at an all time high, CDC report suggests Live Science - March 29, 2023
The rate of autism spectrum disorder (ASD) in the United States has reached an all time high. One in 36 children had an ASD diagnosis in 2020 compared to one in 44 in 2018, according to data collected across 11 states by the Autism and Developmental Disabilities Monitoring (ADDM) Network. Wisconsin recorded the largest relative change between 2018 and 2020, with a 49.5% increase in the overall prevalence of ASD.
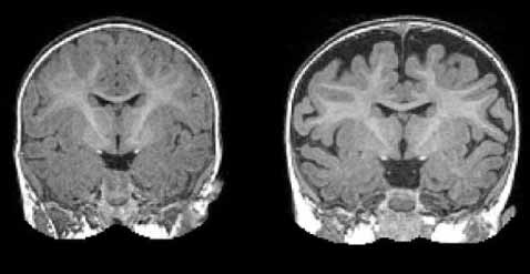
Brain differences tied to autism can be detected in the womb Live Science - April 7, 2022
P>
Brain scans of babies in the womb may reveal whether a child is at risk for developing autism later in life, early research suggests.
A small study of 39 fetuses found that, by 25 weeks of gestation, certain brain regions looked different in the unborn babies who went on to be diagnosed with autism compared with those who were not diagnosed with the condition.
New AI-driven algorithm can detect autism in brain 'fingerprints' Medical Express - April 6, 2022

Rapid Growth of a Key Brain Structure May Be Behind Autism Science Alert - March 29, 2022
A brain structure called the amygdala grows too fast in babies who are diagnosed with autism by age 2, a new study suggests. The study researchers found that this overgrowth occurs between 6 and 12 months of age, before children are typically diagnosed with autism.
The neural mechanisms behind autism: Altered sensory processing of communication signals Medical Express - February 24, 2022
Voice processing is an evolutionary preserved process. Voice-specific responses are already present in utero and voice-specific brain responses develop early in human life - even before birth, the fetus reacts to the mother's voice differently than to a stranger's voice. In autism, altered voice perception such as a lack of preference for the mother's voice can already be observed in early infancy. Also later in life, alterations in voice processing, such as difficulties in recognizing another person's identity or emotion by voice or recognizing speech in noisy environments are prominent in autistic perception.
A Landmark Autism Intervention Study Has Shown Dramatically Reduced Diagnosis Rates Science Alert - September 22, 2021
We know that for autism, the causes and changes to the brain are happening long before birth. But in a groundbreaking new study, an intervention in infants showing early signs of autism has been able to reduce clinical diagnosis by two-thirds.
Confirmed: No Link Between Autism and Measles Vaccine, Even for 'At Risk' Kids Live Science - March 5, 2019
Children who receive the measles, mumps and rubella (MMR) vaccine are not at increased risk for autism, and that includes children who are sometimes considered to be in "high risk" groups for the neurodevelopmental disorder, a massive new study finds.
Study suggests birth mechanics are part of the process that leads to autism Medical Express - January 24, 2019
No one really knows what causes ASD, but many in the medical science community believe that it likely has something to do with the gestation period. In this new effort, the researchers wondered if the birth process itself may also play a role. They note that ASD rates are higher in cases of premature c-section deliveries suggesting a possible link.
Autism is associated with zinc deficiency in early development - now a study links the two Medical Express - November 10, 2018
The emergence of autism in children has not only been linked to genes encoding synaptic proteins - among others - but also environmental insults such as zinc deficiency. Although it is unclear whether zinc deficiency contributes to autism, scientists have now defined in detail a possible mechanistic link. Their research shows how zinc shapes the connections or 'synapses' between brain cells that form during early development, via a complex molecular machinery encoded by autism risk genes.
Scientists reverse a sensory impairment in mice with autism Medical Express - September 25, 2018
Using a genetic technique that allows certain neurons in the brain to be switched on or off, UCLA scientists reversed a sensory impairment in mice with symptoms of autism, enabling them to learn a sensory task as quickly as healthy mice.
Kids with autism learn, grow with the 'social robot' Science Daily - August 22, 2018
Robots may hold the keys to social success for kids with autism. That's the takeaway from an experimental home-based therapy in which autonomous "social" robots modeled and encouraged behaviors like maintaining eye contact and paying attention while playing with 12 children with autism spectrum disorder. The kids were between 6 and 12 years of age. For the mother of one boy who took part in the month-long experiment, the gains were a real eye-opener. She said her son's interactions with people who he's not close to had been a little awkward at times.
Autism linked to egg cells' difficulty creating large proteins Medical Express - August 16, 2018
The genetic factors underlying fragile X syndrome, and potentially other autism-related disorders, stem from defects in the cell's ability to create unusually large protein structures. Their work focuses on a gene called Fmr1. Mutations in this gene create problems in the brain as well as the reproductive system. They can lead to the most-common form of inherited autism, fragile X syndrome, as well as to premature ovarian failure. It was already thought that Fmr1 plays a pivotal part in the last stages of the process by which the recipe encoded by a gene is used to construct a protein.
National birth cohort study finds DDT metabolites in the blood of pregnant women are associated with elevated odds of autism in offspring Science Daily - August 16, 2018
A study of more than 1 million pregnancies in Finland reports that elevated levels of a metabolite of the banned insecticide DDT in the blood of pregnant women are linked to increased risk for autism in the offspring. The study is the first to connect an insecticide with risk for autism using maternal biomarkers of exposure.
The simple optical illusion that could help to diagnose autism in seconds Daily Mail - August 13, 2018
Accurately diagnosing autism can be difficult, especially with young children. However, specialists have created an optical illusion to help diagnose the condition. If someone's pupils dilate when they watch the illusion, which displays a pattern of white and black dots that can appear as either a rotating cylinder or two static sheets of dots shuffling side-to-side, they are likely to have mild autism. That's because people who have autism interpret the two layers of black and white dots differently to those who do not have the condition.
US autism rate up 15 percent over 2 year period Science Daily - April 27, 2018
Researchers at the Johns Hopkins Bloomberg School of Public Health contributed to a new U.S. Centers for Disease Control and Prevention (CDC) report that finds the prevalence of autism spectrum disorder (ASD) among 11 surveillance sites as one in 59 among children aged 8 years in 2014 (or 1.7 percent). This marks a 15 percent increase from the most recent report two years ago, and the highest prevalence since the CDC began tracking ASD in 2000. Consistent with previous reports, boys were four times more likely to be identified with ASD than girls. The rate is one in 38 among boys (or 2.7 percent) and one in 152 among girls (or 0.7 percent). One in 34 New Jersey 8 Year Olds Has Autism
Researchers link defects in a nuclear receptor in the brain to autism spectrum disorders Science Daily - March 14, 2018
Two University of Houston scientists are reporting that defects in a portion of the brain's hippocampus, called the dentate gyrus, is regulated by the nuclear receptor LXRB (Liver X receptor Beta). The dentate gyrus, or DG, is responsible for emotion and memory and is known to be involved in autism spectrum disorders (ASD).
Autism's social deficits are reversed by an anti-cancer drug Medical Express - March 12, 2018
Of all the challenges that come with a diagnosis of autism spectrum disorder (ASD), the social difficulties are among the most devastating. Currently, there is no treatment for this primary symptom of ASD.New research at the University at Buffalo reveals the first evidence that it may be possible to use a single compound to alleviate the behavioral symptoms by targeting sets of genes involved in the disease.
Researchers pinpoint gene responsible for neurodevelopmental disorders, including autism PhysOrg - March 7, 2018
Researchers found alterations of the gene thousand and one amino-acid kinase 2, known as TAOK2, plays a direct role in these disorders. This is the first comprehensive study that supports previous research suggesting the involvement of this gene.
Scientists link genes to brain anatomy in autism Medical Express - February 27, 2018
Researchers discovered a set of genes linked to differences in the thickness of the cortex between autistic kids and non-autistic children. Many of these genes are involved in how brain cells (or neurons) communicate with each other. Interestingly, many of the genes identified in this study have been shown to have lower gene activity at the molecular level in autistic post mortem brain tissue samples.
Blood and urine tests developed to indicate autism in children Medical Express - February 19, 2018
The tests could lead to earlier detection of autism spectrum disorders (ASD) and consequently children with autism could be given appropriate treatment much earlier in their lives. ASDs are defined as developmental disorders mainly affecting social interaction and they can include a wide spectrum of behavioral problems. These include speech disturbances, repetitive and/or compulsive behaviour, hyperactivity, anxiety, and difficulty to adapt to new environments, some with or without cognitive impairment. Since there is a wide range of ASD symptoms diagnosis can be difficult and uncertain, particularly at the early stages of development.
Fragile X syndrome neurons can be restored, study shows Medical Express - February 16, 2018
Fragile X syndrome is the most frequent cause of intellectual disability in males, affecting one out of every 3,600 boys born. The syndrome can also cause autistic traits, such as social and communication deficits, as well as attention problems and hyperactivity. Currently, there is no cure for this disorder. Fragile X syndrome is caused by mutations in the FMR1 gene on the X chromosome, which prevent the gene's expression. This absence of the FMR1-encoded protein during brain development has been shown to cause the over-excitability in neurons associated with the syndrome. Now, for the first time, researchers at Whitehead Institute have restored activity to the fragile X syndrome gene in affected neurons using a modified CRISPR/Cas9 system they developed that removes the methylation - the molecular tags that keep the mutant gene shut off - suggesting that this method may prove to be a useful paradigm for targeting diseases caused by abnormal methylation.
Is this the clearest autism test ever? Two-minute questionnaire could detect the disorder in children earlier than anything else Daily Mail - February 7, 2018
A simple two-minute questionnaire could detect autism in toddlers, new research suggests. The Psychological Development Questionnaire (PDQ-1) consists of 10 questions that help gauge how children interact with others, including whether the child points or gestures to show interest, responds to their name, and speaks in phrases. Autism affects one in 45 children, but early detection of the disorder is challenging since there isn't a single behavioral or observational approach that will be reliable for all children. Autism spectrum disorder (ASD) is a developmental disorder characterized by difficulties with social interaction, communication challenges and a tendency to engage in repetitive behaviors.
Genetic body / brain connection identified in genomic region linked to autism PhysOrg - October 6, 2017
For the first time, Whitehead Institute scientists have documented a direct link between deletions in two genes - fam57ba and doc2a - in zebrafish and certain brain and body traits, such as seizures, hyperactivity, enlarged head size, and obesity.
Eight autism-related mutations in one gene PhysOrg - September 19, 2017

By studying data from thousands of genomes of people with autism-spectrum disorders, an interdisciplinary team of USC researchers homed in on a gene called TRIO. The TRIO gene produces a protein that influences the development and strength - or weakness - of the connections between brain cells. The scientists found eight autism-associated mutations clustered within a small region of the Trio protein. Changes in the protein's function early in a child's brain development can, like a wayward driver on a freeway, set off a chain reaction that hampers connections between brain cells and, consequently, hinder the brain's ability to store and process information.
Autism: New analysis method of metabolites accurately predicts whether a child has autism Science Daily - March 17, 2017

Scientists have developed a new, highly accurate method that analyzes metabolic biomarkers to assess whether a child is on the autism spectrum. Autism spectrum disorder affects about 1.5 percent of all children, but its exact cause remains unknown, and diagnosis requires a multidisciplinary team of doctors. Previous research has revealed certain differences in metabolic processes between children on the autism spectrum and neurotypical children. However, researchers have struggled to translate these differences into new diagnostic tools.
Infant MRIs show autism linked to increased cerebrospinal fluid Science Daily - March 6, 2017

A national research network found that many toddlers diagnosed with autism at two years of age had a substantially greater amount of extra-axial cerebrospinal fluid (CSF) at six and 12 months of age, before diagnosis is possible. They also found that the more CSF at six months -- as measured through MRIs -- the more severe the autism symptoms were at two years of age.
Autism risk genes linked to evolving brain Medical Express - February 27, 2017

Genetic variants linked to autism spectrum disorders (ASD) may have been positively selected during human evolution because they also contribute to enhanced cognition, a new Yale study suggests. A genome-wide association study of ASD of more than 5,000 cases and an analysis of evolutionary gene selection showed that inherited variants linked to ASD were found under positive selection in larger numbers than would have been expected by chance. Variants that have a large negative impact on reproductive success are generally eliminated from the population quickly. However, common variants that occur with high frequency but small effect can cumulatively have big impacts on complex inherited traits - both positive and negative. If variants provide a better chance of survival, they are positively selected, or tend to stay in the genome through generations
Autism detectable in brain long before symptoms appear BBC - February 15, 2017
Brain scans can detect autism long before any symptoms start to emerge, say scientists. The earliest that children tend to be diagnosed at present is at the age of two, although it is often later. The study showed the origins of autism are much earlier than that - in the first year of life. The findings could lead to an early test and even therapies that work while the brain is more malleable. One in every 100 people has autism, which affects behavior and particularly social interaction.
MRIs predict which high-risk babies will develop autism as toddlers Science Daily - February 15, 2017

This first-of-its-kind study used MRIs to image the brains of infants, and then researchers used brain measurements and a computer algorithm to accurately predict autism before symptoms set in. Using magnetic resonance imaging (MRI) in infants with older siblings with autism, researchers from around the country were able to correctly predict 80 percent of those infants who would later meet criteria for autism at two years of age.
New brain target for potential treatment of social pathology in autism spectrum disorder Medical Express - February 7, 2017

Researchers have induced empathy-like behavior by identifying then manipulating a brain circuit in an experimental model, an indication that new strategies may help people with autism spectrum disorder (ASD) gain social abilities. According to the Centers for Disease Control, one in 68 children is living with an ASD, the fastest-growing developmental disorder in the U.S., with associated costs estimated at between $12 billion and $61 billion. ASD can impair empathy, the ability to share and understand the feelings of others, which is aided by the ability to read facial expression, tone of voice and other social cues.
Brains of people with autism spectrum disorder share similar molecular abnormalities Medical Express - December 5, 2016

Autism spectrum disorder is caused by a variety of factors, both genetic and environmental. But a new study led by UCLA scientists provides further evidence that the brains of people with the disorder tend to have the same "signature" of abnormalities at the molecular level. The scientists analyzed 251 brain tissue samples from nearly 100 deceased people -48 who had autism and 49 who didn't. Most of the samples from people with autism showed a distinctive pattern of unusual gene activity.
Psychologists discover brain connections in people with autism show more symmetry between hemispheres Medical Express - December 1, 2016

Divvying up tasks between the left and right hemispheres of the brain is one of the hallmarks of typical brain development. The left hemisphere, for instance, is involved in analyzing specific details of a situation, while the right hemisphere is involved in integrating all the various streams of information coming into the brain. A new study by neuropsychologists at San Diego State University suggests that in people with autism spectrum disorder (ASD), the brains' hemispheres are less likely to specialize one way or another. The finding gives further insight into how brain development in people with ASD contributes to the disorder's cognitive characteristics.
Common brain changes found in children with autism, ADHD and OCD Science Daily - July 27, 2016

A team of scientists has found similarities in brain impairments in children with autism spectrum disorder, attention deficit hyperactivity disorder and obsessive compulsive disorder. The study involved brain imaging of white matter in 200 children. Many of the behaviors that contribute to impairment in autism, ADHD, and OCD, such as attention problems or social difficulties, occur across these conditions, and differ in severity from person to person. The researchers found that the brain's white matter structure was associated with a spectrum of behavioral symptoms present across these diagnoses. Children with greater brain impairment also had higher impairments in functioning in daily life, regardless of their diagnosis,
Autism is not just a disease of the brain, mouse study suggests PhysOrg - June 9, 2016
Autism spectrum disorders is generally thought to be caused by deficits in brain development, but a study in mice now suggests that at least some aspects of the disorder -- including how touch is perceived, anxiety, and social abnormalities -- are linked to defects in another area of the nervous system, the peripheral nerves found throughout the limbs, digits, and other parts of the body that communicate sensory information to the brain.
New study adds key piece to autism puzzle Science Daily - April 4, 2016

The first study to use eye-tracker technology to monitor eye movement of children with autism spectrum disorder during an interactive conversation shows that children with the developmental disability fixate longer on a speaker's mouth rather than the eyes when the conversation turns emotional. The study also shows that a shift away from the eyes towards the mouth by children with ASD was associated with higher autism severity, more limited executive function, and poorer verbal and intellectual ability.
We May Have Been Wrong About Autism And Empathy Huffington Post - March 29, 2016

Individuals with autism are often stereotyped as being socially disengaged and lacking in empathy, which has increased stigma against the disorder. Often, these misperceptions are linked to criminal cases, such as school shootings, committed by people with autism spectrum disorders. But new research suggests that while social deficiencies are one aspect of autism, this stereotype is nothing more than a myth. In fact, individuals with autism are far from indifferent to the suffering of others. When faced with moral dilemmas, they show an empathetic response similar to those without the condition.
Taking antidepressants during pregnancy increases risk of autism by 87 percent Medical Express - December 14, 2015

Using antidepressants during pregnancy greatly increases the risk of autism. Prof. Berard, an internationally renowned expert in the fields of pharmaceutical safety during pregnancy, came to her conclusions after reviewing data covering 145,456 pregnancies. The World Health Organization indicates that depression will be the second leading cause of death by 2020, which leads the researchers to believe that antidepressants will likely to remain widely prescribed, including during pregnancy.
5 Early Signs Of Autism All Parents Should Know Huffington Post - December 9, 2015

1. Doesn't respond to his or her own name.
2. Doesn't engage "joint attention."
3. Doesn't imitate others' behavior.
4. Doesn't engage in pretend play.
5. Doesn't respond emotionally.
New Survey Method Finds More Kids With Autism NBC - November 13, 2015
A new government survey finds that more than 2 percent of U.S. kids have been diagnosed with autism - or 1 in 45 children aged 3 and older.

About 1 in 45 children in the United States has an autism spectrum disorder, according to a new government estimate of the condition's prevalence in 2014. This new report is based on data collected during the yearly National Health Interview Survey, from interviews of parents about their children, and is the first report of the prevalence of autism in the U.S. to include data from the years 2011 to 2014, according to the researchers from the Centers for Disease Control and Prevention (CDC). Although the new estimate looks like a significant increase from the CDC's previous estimate - which put the autism spectrum disorder rate at 1 in 68 children - the previous estimate was made using data from a different CDC survey, called the Autism and Developmental Disabilities Monitoring Network, which gathers information from children's medical records. This 1-in-68 estimate was reported in 2014, but was based on data collected during 2010.
Research examines relationship between autism and creativity Science Daily - August 14, 2015
People with high levels of autistic traits are more likely to produce unusually creative ideas, new research confirms. While the researchers found that people with high autistic traits produced fewer responses when generating alternative solutions to a problem, the responses they did produce were more original and creative. It is the first study to find a link between autistic traits and the creative thinking processes.
Measles Vaccine Not Linked with Autism, Even in High-Risk Kids Live Science - April 21, 2015

Another study has found no link between autism and the vaccine against measles, mumps and rubella (called the MMR vaccine). This time, the finding comes from a study of children at high risk of developing autism. Although numerous studies have shown that vaccines do not cause autism, some parents still believe that vaccines and autism are related, and thus choose to not vaccinate their kids, researchers say. In the new study, researchers examined health data and vaccination records of about 96,000 children who all had older siblings. The researchers found that there was no link between receiving the MMR vaccine and developing autism, even for the children who had an increased risk of autism because their older siblings had been diagnosed with the condition. Other studies have shown that having an older sibling with autism is a risk factor for developing the condition.
Autism risk genes also linked to higher intelligence Science Daily - March 10, 2015
Genes linked with a greater risk of developing autism may also be associated with higher intelligence, a study suggests. Researchers have found new evidence linking genetic factors associated with autism to better cognitive ability in people who do not have the condition. The relationship between autism and intelligence is not clear, researchers say. Although up to 70 per cent of individuals with autism have an intellectual disability, some people with the disorder have relatively well-preserved, or even higher than average, non-verbal intelligence, the team says. Autism is a developmental disability that can cause significant language and speech difficulties. Non-verbal intelligence enables people to solve complex problems using visual and hands-on reasoning skills requiring little or no use of language.
'Innovative' Intervention Helps Babies at High Risk of Autism Live Science - January 22, 2015
Babies who have a high risk of developing autism may benefit when their parents receive some video-based lessons on how to work with their infants, a new study finds. Researchers found that the babies of parents who completed the lessons were moderately more engaged with other people, did a better job of paying attention and showed more social behaviors, compared with babies whose parents didn't complete the lessons. The results suggest that although early intervention does not prevent autism, it may lessen its features in some children who have a high risk of developing the disorder.
Century-old drug reverses autism-like symptoms in fragile X mouse model Science Daily - January 18, 2015
Researchers previously reported that a drug used for almost a century to treat trypanosomiasis, or sleeping sickness, reversed environmental autism-like symptoms in mice. Now, a new study suggests that a genetic form of autism-like symptoms in mice are also corrected with the drug, even when treatment was started in young adult mice.
Brain inflammation a hallmark of autism, large-scale analysis shows PhysOrg - December 10, 2014
While many different combinations of genetic traits can cause autism, brains affected by autism share a pattern of ramped-up immune responses, an analysis of data from autopsied human brains reveals. There are many different ways of getting autism, but we found that they all have the same downstream effect. The causes of autism, also known as autistic spectrum disorder, remain largely unknown and are a frequent research topic for geneticists and neuroscientists. Researchers reported that for autism, studies of whether and how much genes were being used - known as gene expression - had thus far involved too little data to draw many useful conclusions. Given the known genetic contributors to autism, inflammation is unlikely to be its root cause. This is a downstream consequence of upstream gene mutation. The next step would be to find out whether treating the inflammation could ameliorate symptoms of autism.
Missing gene linked to autism PhysOrg - November 25, 2014
Researchers at the University of Leeds have shed light on a gene mutation linked to autistic traits. The team already knew that some people with autism were deficient in a gene called neurexin-II. To investigate whether the gene was associated with autism symptoms, the Leeds team studied mice with the same defect. They found behavioral features that were similar to autism symptoms, including a lack of sociability or interest in other mice.
Brain anatomy differences between autistic and typically developing individuals are indistinguishable PhysOrg - November 4, 2014
In the largest MRI study to date, researchers from Ben-Gurion University of the Negev and Carnegie Mellon University have shown that the brain anatomy in MRI scans of people with autism above age six is mostly indistinguishable from that of typically developing individuals and, therefore, of little clinical or scientific value.
Gene duplications associated with autism evolved recently in human history PhysOrg - October 19, 2014
Human geneticists have discovered that a region of the genome associated with autism contains genetic variation that evolved in the last 250,000 years, after the divergence of humans from ancient hominids, and likely plays an important role in disease.
Presence or absence of early language delay alters anatomy of the brain in autism PhysOrg - September 23, 2014
A new study led by researchers from the University of Cambridge has found that a common characteristic of autism - language delay in early childhood - leaves a 'signature' in the brain.The researchers studied 80 adult men with autism: 38 who had delayed language onset and 42 who did not. They found that language delay was associated with differences in brain volume in a number of key regions, including the temporal lobe, insula, ventral basal ganglia, which were all smaller in those with language delay; and in brainstem structures, which were larger in those with delayed language onset.
Timeline of human origins revised: New synthesis of research links changing environment with Homo's evolutionary adaptability Science Daily - July 5, 2014
Many traits unique to humans were long thought to have originated in the genus Homo between 2.4 and 1.8 million years ago in Africa. Although scientists have recognized these characteristics for decades, they are reconsidering the true evolutionary factors that drove them. Many traits unique to humans were long thought to have originated in the genus Homo between 2.4 and 1.8 million years ago in Africa. Although scientists have recognized these characteristics for decades, they are reconsidering the true evolutionary factors that drove them.
Autism 'begins long before birth' BBC - March 27, 2014

Scientists say they have new evidence that autism begins in the womb. Patchy changes in the developing brain long before birth may cause symptoms of autism spectrum disorder (ASD), research suggests. US scientists analyzed post-mortem brain tissue of 22 children with and without autism, all between two and 15 years of age. They used genetic markers to look at how the outermost part of the brain, the cortex, wired up and formed layers. Abnormalities were found in 90% of the children with autism compared with only about 10% of children without. The changes were dotted about in brain regions involved in social and emotional communication, and language, long before birth, they say.
For Kids with Autism, Sights and Sounds Are Disjoined Live Science - January 14, 2014

The world for children with autism may resemble watching a movie with the audio out of sync. New research shows these children have trouble putting together what they see with what they hear, and that these deficits may underlie their speech and communication problems. For most people, the signals arriving in the brain from the ears and the eyes within a time window of 100 to 200 milliseconds, are put together, to form one perception. For example, hearing the sound of a word and seeing the movement of lips together creates the perception of a spoken word. The new study showed that in children with autism, the time window for binding signals together is wider, meaning that the brain integrates events that happened as much as half a second (500 milliseconds) apart, and should have been perceived as separate events, according to the study.
Study reveals senses of sight and sound separated in children with autism PhysOrg - January 14, 2014
The study is the first to illustrate the link and strongly suggests that deficits in the sensory building blocks for language and communication can ultimately hamper social and communication skills in children with autism. The study found that children with autism have an enlargement in something known as the temporal binding window (TBW), meaning the brain has trouble associating visual and auditory events that happen within a certain period of time.
People with Autism More Likely to Hear Colors, See Sounds Live Science - November 20, 2013
People with autism may be more likely than others to have synesthesia, a condition in which people experience a mixing of their senses, such as hearing tastes and shapes, and seeing numbers in colors, a new study from Europe suggests. Researchers tested 164 people with autism and 97 people without autism by giving them online questionnaires designed to evaluate whether they had synesthesia. They found synesthesia occurred in about 7 percent of people who didn't have autism, a figure within the range of previously reported rates. In contrast, 19 percent of people with autism appeared to have synesthesia.
Study finds that a subset of children often considered to have autism may be misdiagnosed PhysOrg - September 18, 2013
Children with a genetic disorder called 22q11.2 deletion syndrome, who frequently are believed to also have autism, often may be misidentified because the social impairments associated with their developmental delay may mimic the features of autism, a study by researchers with the UC Davis MIND Institute suggests. The study is the first to examine autism in children with chromosome 22q11.2 deletion syndrome, in whom the prevalence of autism has been reported at between 20 and 50 percent, using rigorous gold-standard diagnostic criteria. The research found that none of the children with 22q11.2 deletion syndrome "met strict diagnostic criteria" for autism. The researchers said the finding is important because treatments designed for children with autism, such as widely used discrete-trial training methods, may exacerbate the anxiety that is commonplace among the population.
Traits of Autism Seen in Some Kids with ADHD Live Science - August 26, 2013
Nearly one in five children with attention-deficit/hyperactivity disorder (ADHD) have traits that are common among children with autism, and having these traits appears to increase children's risk of experiencing impairments in their everyday lives, a new study suggests. Among children in the study with ADHD, 18 percent had autistic traits, while less than 1 percent of children without ADHD had such traits. Children with ADHD and autistic traits were more likely to get in fights, be rejected by their peers, and have problems in school and with their siblings, compared with children with ADHD who did not have the autistic profile, the researchers said in their study.
Detecting Autism from Brain Activity Science Daily - April 17, 2013
Neuroscientists from Case Western Reserve University School of Medicine and the University of Toronto have developed an efficient and reliable method of analyzing brain activity to detect autism in children. The researchers recorded and analyzed dynamic patterns of brain activity with magnetoencephalography (MEG) to determine the brain's functional connectivity - that is, its communication from one region to another. MEG measures magnetic fields generated by electrical currents in neurons of the brain.
Five psychiatric disorders 'linked' BBC - March 1, 2013
Autism, attention deficit-hyperactivity disorder, bipolar disorder, major depressive disorder and schizophrenia all share several genetic risk factors, according to a major study. Versions of four genes increased the odds of all five disorders. Researchers hope to move the psychiatry away from describing symptoms towards fundamentally understanding what is going wrong in the brain.
Boosting natural marijuana-like brain chemicals treats fragile X syndrome symptoms PhysOrg - September 26, 2012
American and European scientists have found that increasing natural marijuana-like chemicals in the brain can help correct behavioral issues related to fragile X syndrome, the most common known genetic cause of autism.
New Genes Contributing to Autism Discovered; Genetic Links Between Neurodevelopment and Psychiatric Disorders Science Daily - April 21, 2012
A new approach to investigating hard-to-find chromosomal abnormalities has identified 33 genes associated with autism and related disorders, 22 for the first time. Several of these genes also appear to be altered in different ways in individuals with psychiatric disorders such as schizophrenia, symptoms of which may begin in adolescence or adulthood. Results of the study by a multi-institutional research team will appear in the April 27 issue of Cell and have been released online
Early Autism Sign: Babies' Brain Responses to Eye Contact Live Science - January 27, 2012
The way that babies as young as six months look at the eyes of other people may be an early sign of autism, a new study suggests. Researchers looked at brain scans of infants as they were shown pictures of faces, and those who were later diagnosed with autism showed marked differences in brain activity from those who were not later diagnosed with the condition when the eyes in the pictures were directed at the infants. The study included 104 babies who either had a higher risk of developing autism, because they had a sibling with the condition, or had no family history of autism. "This study takes us a step further in understanding what goes on in the brain that subsequently causes autism to emerge in children," said study researcher Mayada Elsabbagh, a scientist at McGill University in Canada.